黃建勳 牙醫師

黃建勳 牙醫師

🦷關於牙齒保存🦷 |顯微補牙|活髓治療|陶瓷嵌體|顯微根管| |牙周治療| 🦷關於美學重建🦷 |陶瓷貼片|美學牙科|全口重建|人工植牙| |全口矯正|

耀美牙醫診所 - 顯微植牙矯正美學中心
耀美牙醫診所 - 顯微植牙矯正美學中心

仿生陶瓷貼片-案例分享

黃建勳 牙醫師 術前
牙齒表面脫鈣
術前
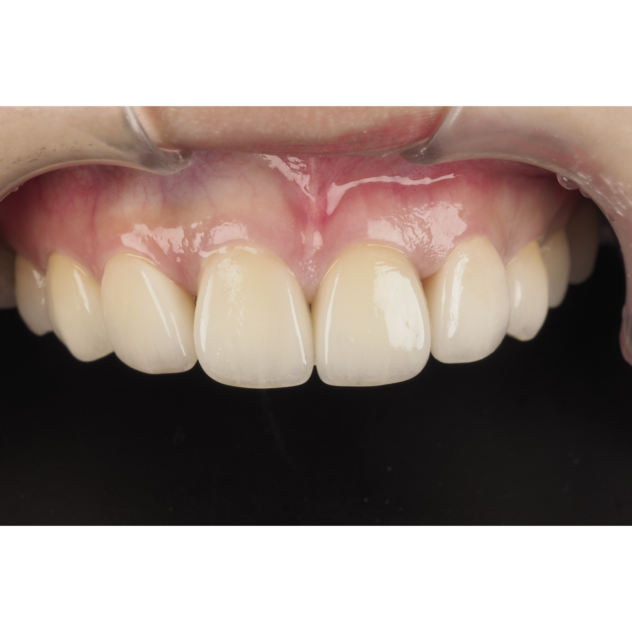
黃建勳 牙醫師 術後
仿生陶瓷貼片
術後

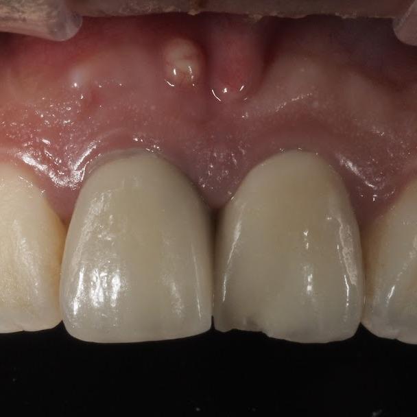
植牙美學重建-案例分享

黃建勳 牙醫師 牙根斷裂
牙根斷裂
術前
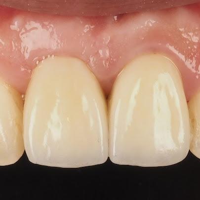
黃建勳 牙醫師 假牙自然對稱
假牙自然對稱
術後

顯微美學樹脂補牙-案例分享

黃建勳 牙醫師 術前
牙齒表面脫鈣
美學樹脂填補
黃建勳 牙醫師 術後
門牙縫及缺角
美學樹脂填補
黃建勳 牙醫師 術前
二次蛀牙
後牙仿生填補
黃建勳 牙醫師 術後
二次蛀牙
後牙仿生填補

活髓治療-案例分享

黃建勳 牙醫師 牙髓暴露
牙髓暴露
深度蛀牙
黃建勳 牙醫師 覆蓋生物陶瓷材料
覆蓋生物陶瓷材料
術後
黃建勳 牙醫師

黃建勳 牙醫師

🦷關於牙齒保存🦷 |顯微補牙|活髓治療|陶瓷嵌體|顯微根管| |牙周治療| 🦷關於美學重建🦷 |陶瓷貼片|美學牙科|全口重建|人工植牙| |全口矯正|

仿生陶瓷貼片-案例分享

黃建勳 牙醫師 術前
牙齒表面脫鈣
術前
黃建勳 牙醫師 術後
仿生陶瓷貼片
術後

植牙美學重建-案例分享

黃建勳 牙醫師 牙根斷裂
牙根斷裂
術前
黃建勳 牙醫師 假牙自然對稱
假牙自然對稱
術後

顯微美學樹脂補牙-案例分享

黃建勳 牙醫師 術前
牙齒表面脫鈣
美學樹脂填補
黃建勳 牙醫師 術後
門牙縫及缺角
美學樹脂填補
黃建勳 牙醫師 術前
二次蛀牙
後牙仿生填補
黃建勳 牙醫師 術後
二次蛀牙
後牙仿生填補

活髓治療-案例分享

黃建勳 牙醫師 牙髓暴露
牙髓暴露
深度蛀牙
黃建勳 牙醫師 覆蓋生物陶瓷材料
覆蓋生物陶瓷材料
術後