林口長庚醫院牙髓病科主治醫師 耕莘醫院安康院區一般牙科主治醫師 衛福部定牙髓病科專科醫師 衛福部定家庭牙醫科專科醫師 中華民國牙髓病學會顯微操作認證 Conference: - 2025年度 臺北榮總「院際最佳病例競賽」專科醫師組特優獎 - Rotational Intentional Replantation for a Combined Endodontic–Periodontal Lesion in a Mandibular Second Molar: A Case Report, IFEA, 2026 - Is it possible to print vertical root fracture lines using a Micro–Computed Tomography System and 3-dimensional Printing Technology? WCDT, 2024 - Endodontic Treatment of a C-Shaped Maxillary First Molar with the Aid of 3D Printing technology, APEC, 2023 - Nonsurgical Root Canal Retreatment for Multiple Separated Instruments of Maxillary Second Molar: A Case Report, AEROC 2021 Journal articles: - 使用3D列印製作物理性假體模擬下顎第三大臼齒自體牙移植手術:病例報告, 《中華民國家庭牙醫學雜誌》 16卷1期 (2021/06) Pp. 34-40 - AI人工智慧在牙髓病科的初步應用, 《中華民國家庭牙醫學雜誌》 15卷4期 (2021/03) Pp. 18-22 - 上顎第二大臼齒多根斷離器械之非手術性根管治療:病例報告,《牙髓病科學雜誌》 第12卷 第1期 學歷: 國立台灣大學碩士 中山醫學大學牙醫學學士 其他 - Dr. John West Mini-Residency in State-of-the-Art Endodontics - Dr. Yoshi Terauchi - 根管再治療暨斷針移除訓練 - Dr. Mitsuhiro Tsukiboshi - 自體移植手術培訓 - Dr. Adham Azim - 顯微根尖手術培訓
Powered by Portaly.cc
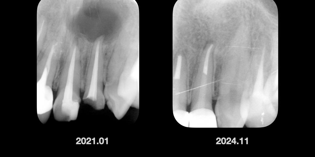
顯微根管
自體牙移植
活髓保存
林口長庚醫院牙髓病科主治醫師 耕莘醫院安康院區一般牙科主治醫師 衛福部定牙髓病科專科醫師 衛福部定家庭牙醫科專科醫師 中華民國牙髓病學會顯微操作認證 Conference: - 2025年度 臺北榮總「院際最佳病例競賽」專科醫師組特優獎 - Rotational Intentional Replantation for a Combined Endodontic–Periodontal Lesion in a Mandibular Second Molar: A Case Report, IFEA, 2026 - Is it possible to print vertical root fracture lines using a Micro–Computed Tomography System and 3-dimensional Printing Technology? WCDT, 2024 - Endodontic Treatment of a C-Shaped Maxillary First Molar with the Aid of 3D Printing technology, APEC, 2023 - Nonsurgical Root Canal Retreatment for Multiple Separated Instruments of Maxillary Second Molar: A Case Report, AEROC 2021 Journal articles: - 使用3D列印製作物理性假體模擬下顎第三大臼齒自體牙移植手術:病例報告, 《中華民國家庭牙醫學雜誌》 16卷1期 (2021/06) Pp. 34-40 - AI人工智慧在牙髓病科的初步應用, 《中華民國家庭牙醫學雜誌》 15卷4期 (2021/03) Pp. 18-22 - 上顎第二大臼齒多根斷離器械之非手術性根管治療:病例報告,《牙髓病科學雜誌》 第12卷 第1期 學歷: 國立台灣大學碩士 中山醫學大學牙醫學學士 其他 - Dr. John West Mini-Residency in State-of-the-Art Endodontics - Dr. Yoshi Terauchi - 根管再治療暨斷針移除訓練 - Dr. Mitsuhiro Tsukiboshi - 自體移植手術培訓 - Dr. Adham Azim - 顯微根尖手術培訓