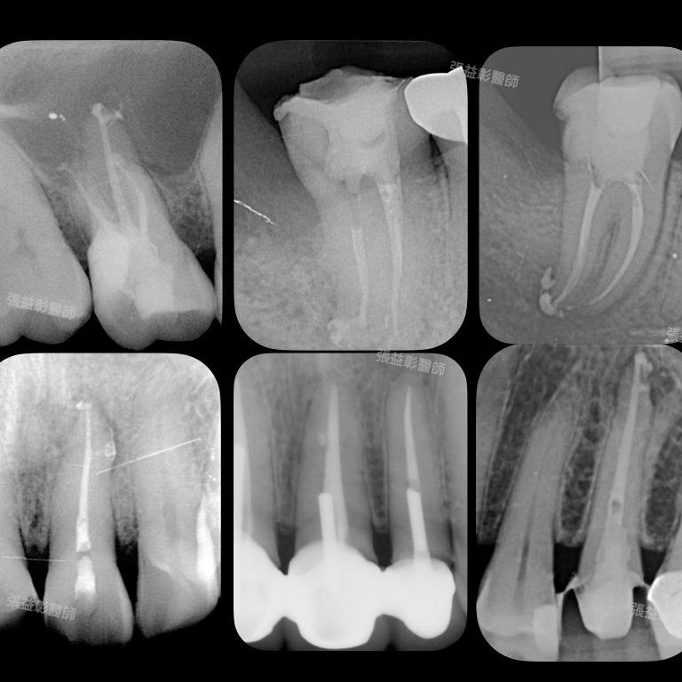
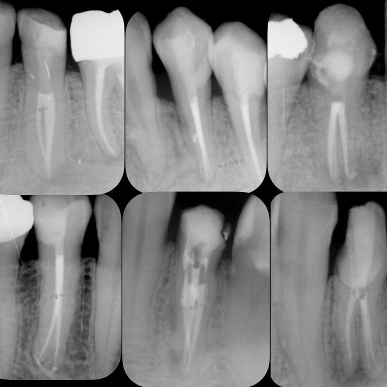
張益彰醫師 | 衛福部定牙髓病專科
多根管小臼齒
側根管